新生儿健康护理 新生儿左眼流泪眼屎怎么办? 下面我为您详细分析一下可能的原因、家庭护理方法以及何时需要就医,最常见的原因:新生儿鼻泪管堵塞这是导致新生儿单眼流泪、眼屎多最主要的原因,约占80%以上,为什么会出现这种情况?在胚胎发育过程中,鼻泪管... 99ANYc3cd6 2025-11-28 1 #婴儿单眼流泪眼屎原因 #新生儿左眼有眼屎流泪怎么办
新生儿健康护理 新生儿睡觉为何手脚总乱动? 这主要是因为新生儿的大脑和神经系统还没有发育完全,无法像成人一样完全控制自己的身体,下面我们来详细拆解一下几个主要原因:神经系统发育不成熟(最主要的原因)“抽搐” vs. “惊跳”:新生儿的神经系统就... 99ANYc3cd6 2025-11-28 1 #新生儿睡觉手脚乱动原因 #婴儿睡眠手脚不踏实怎么办 #新生儿睡眠手脚动频繁是为什么
新生儿健康护理 新生儿为何总醒不睡大觉? 下面我为您详细解析一下背后的原因,并提供一些实用的应对方法,新生儿“小睡怡情,大睡无门”的深层原因新生儿的大脑和身体都处于飞速发育阶段,他们的睡眠模式和成人完全不同,生理原因(最主要的原因)胃容量太小... 99ANYc3cd6 2025-11-28 1 #新生儿频繁夜醒原因 #婴儿睡眠浅易醒怎么办 #新生儿昼夜颠倒睡眠调整
新生儿健康护理 新生儿种花后脓包破了咋处理? 在您去看医生之前,这里为您提供一些紧急处理的原则和注意事项,可以帮助您在就医前正确护理,避免情况恶化,核心原则:保持清洁、防止感染、等待医生诊断第一步:紧急处理(在去看医生之前)千万不要自行用药!不要... 99ANYc3cd6 2025-11-28 1 #新生儿脓包破后消毒 #新生儿脓包破后红肿
新生儿健康护理 新生儿肚脐脱落后多久能碰水? 这是一个非常常见且重要的问题,关系到新生儿的护理和健康,关于新生儿肚脐脱落后多久可以碰水,最核心、最安全的建议是:等待脐带残端完全干燥、脱落,并且肚眼(脐窝)彻底长好,通常需要等到宝宝出生后2-4周,... 99ANYc3cd6 2025-11-28 1 #肚脐脱落后洗澡注意事项 #新生儿脐部护理禁忌
新生儿健康护理 新生儿换奶粉有哪些不良反应? 消化系统不适(最常见)这是换奶粉时最常遇到的问题,因为宝宝的肠胃需要重新适应新的配方,腹泻表现:大便次数明显增多(例如从一天几次增加到十几次),大便呈稀水状或蛋花汤状,可能带有奶瓣或黏液,原因:新奶粉... 99ANYc3cd6 2025-11-27 0
新生儿健康护理 新生儿直接胆红素高是何原因? 总胆红素: 血液中所有胆红素的总和,间接胆红素(又称非结合胆红素): 主要是衰老红细胞分解产生,不溶于水,是导致新生儿黄疸“脸黄”的主要原因,直接胆红素(又称结合胆红素): 由肝脏处理间接胆红素后产生... 99ANYc3cd6 2025-11-27 0 #新生儿直接胆红素偏高怎么办 #新生儿直接胆红素高危害
新生儿健康护理 新生儿生理性体重下降幅度多少正常? 核心答案新生儿生理性体重下降的幅度通常不超过其出生体重的 10%,详细解释为了更全面地理解这个问题,我们可以从以下几个方面来看:什么是生理性体重下降?生理性体重下降,也称为“生理性减重”或“掉水膘”,... 99ANYc3cd6 2025-11-27 0 #新生儿体重下降正常范围 #生理性体重下降最大值 #宝宝体重下降多少算正常
新生儿健康护理 新生儿睡觉老是不踏实怎么回事 下面我将从最常见的原因、其他可能的原因以及怎么办(应对策略)三个方面,为您详细解析, 最常见且正常的原因(生理性因素)这些是宝宝生长发育阶段的必然现象,随着宝宝长大会逐渐改善,大脑发育未成熟(惊跳反射... 99ANYc3cd6 2025-11-27 0 #新生儿睡觉不踏实原因 #新生儿睡眠不安稳怎么办 #新生儿频繁夜醒是什么原因
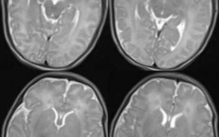
新生儿健康护理 新生儿胆红素脑病早期临床表现 第一阶段:警告期(通常出现于出生后2-7天)这个阶段的症状可能比较轻微且不典型,但已经预示着病情正在进展,家长和医护人员需要高度警惕,嗜睡与反应差: 这是最常见的早期信号,宝宝不像平时那样清醒,总是想... 99ANYc3cd6 2025-11-27 0 #新生儿胆红素脑病早期症状 #新生儿胆红素脑病早期识别 #新生儿胆红素脑病早期表现