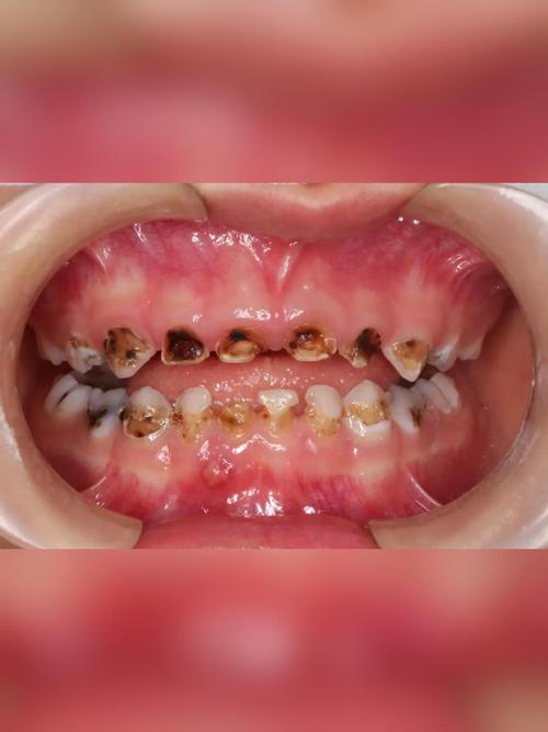
这是一个非常重要且常见的问题,我的回答是:必须治疗!而且要尽快治疗!

(图片来源网络,侵删)
很多家长会认为:“反正乳牙要换,坏了就坏了,等恒牙长出来就好了。” 这是一个非常普遍且危险的误区。
乳牙有“虫窟窿”(也就是龋齿,俗称蛀牙)不治疗,会带来一系列严重的后果,远比您想象的要复杂。
为什么乳牙蛀牙必须治疗?
-
影响恒牙发育和萌出
- 空间占位器:乳牙最重要的作用之一是为将来要长出的恒牙预留位置,如果乳牙因为蛀牙过早脱落,旁边的牙齿就会向空隙倾斜移动,导致恒牙长出来时位置不够,造成牙齿排列不齐(牙列拥挤),将来可能需要更复杂的正畸治疗。
- 影响恒牙胚:严重的乳牙龋坏(尤其是深龋)会感染牙髓(牙神经),炎症可能会穿透牙根尖,直接下方正在发育的恒牙胚,导致恒牙釉质发育不全、颜色发黄、形态异常,甚至让恒牙直接无法萌出。
-
引起剧烈疼痛,影响孩子生活
(图片来源网络,侵删)- 蛀牙会慢慢加深,一旦伤及牙髓(牙神经),就会引发剧烈的、阵发性的牙痛,尤其是在夜间疼痛会加剧。
- 疼痛会影响孩子的饮食、睡眠,甚至导致他们拒绝进食,影响营养摄入和生长发育。
-
引发更严重的口腔感染
- 如果不及时治疗,牙髓的感染会扩散到牙根周围的组织,形成根尖周脓肿,这会导致牙龈上长出“脓包”,脸部肿胀,甚至引发更严重的蜂窝组织炎,导致孩子发烧、脸颊肿得老高,需要住院治疗。
-
影响发音和心理健康
- 门牙(尤其是上前牙)如果过早缺失,会影响孩子正确发音,可能形成一些不良的发音习惯,长大后难以纠正。
- 一口发黑、有洞的牙齿会让孩子不敢笑、不敢说话,产生自卑心理,影响社交和心理健康。
-
影响全身健康
- 口腔是一个细菌的“仓库”,严重的龋齿和根尖感染会成为病灶,细菌可能通过血液或淋巴系统传播到身体其他部位,引发如心肌炎、肾炎、风湿热等全身性疾病。
乳牙蛀牙有哪些治疗方法?
治疗方式取决于蛀牙的严重程度。千万不要等到孩子疼得受不了才去看牙医!

(图片来源网络,侵删)
-
浅龋/中龋(窟窿不深,没有疼痛)
- 充填治疗(俗称“补牙”):这是最常见的方法,牙医会磨掉蛀坏的部分,然后用树脂等材料把牙齿补起来,恢复牙齿的形态和功能,这个过程通常很快,孩子配合的话,一般不需要打麻药。
-
深龋(已伤及牙髓,或有疼痛症状)
- 根管治疗(俗称“杀神经”):如果蛀牙已经深到牙髓,引起感染或疼痛,就必须做根管治疗,牙医会清除牙腔和根管内感染的牙髓组织,进行严格的消毒,最后用特殊的材料填塞根管,保住这颗乳牙,直到它自然脱落。这是治疗乳牙牙髓炎最有效的方法,绝不是“杀神经”那么可怕,而是为了保住牙齿。
-
严重大面积龋坏,牙齿无法保留
- 乳牙拔除:当牙齿破坏得太严重,无法进行根管治疗和修复时,就需要拔除,拔除后,必须及时进行间隙保持器,为恒牙预留位置,防止邻牙移位。
-
预防性治疗
- 涂氟:定期(通常3-6个月一次)带孩子涂氟,可以坚固牙齿,有效预防龋齿。
- 窝沟封闭:对于新萌出的恒磨牙(俗称“大牙”),咬合面有很多深的沟裂,容易藏食物残渣,窝沟封闭就是用一种安全的树脂材料把这些沟隙填平,形成一个保护层,预防蛀牙。
给家长的建议
- 破除误区:请务必摒弃“乳牙不用治”的错误观念。
- 定期检查:建议从孩子长出第一颗牙开始(通常在6个月左右),每半年到正规口腔医院或诊所进行一次口腔检查和涂氟,早发现,早治疗,痛苦小,花费也少。
- 培养良好习惯:监督孩子每天早晚刷牙,使用含氟牙膏(豌豆大小即可),并学会使用牙线清洁牙缝,控制孩子吃甜食和碳酸饮料的频率。
- 选择儿童牙科:如果孩子害怕看牙,可以寻找有经验的儿童牙医,他们懂得如何与孩子沟通,使用行为诱导技术,甚至可以在镇静或全麻下为不合作的孩子完成复杂的治疗,确保治疗的安全和效果。
儿童乳牙有虫窟窿,不仅需要治疗,而且要及时、彻底地治疗。 这是为了孩子的健康、发育和未来拥有一口整齐漂亮的恒牙打下坚实的基础,看牙医并不可怕,拖延和不治才是最可怕的。
标签: 儿童乳牙蛀洞治疗必要性 乳牙蛀洞不治的后果 儿童乳牙蛀洞怎么办
版权声明:除非特别标注,否则均为本站原创文章,转载时请以链接形式注明文章出处。