最常见的原因:暂时性/生理性现象
这类情况通常不需要特殊治疗,阴影会随着宝宝的成长和呼吸的建立而自行吸收。

(图片来源网络,侵删)
-
羊水吸入
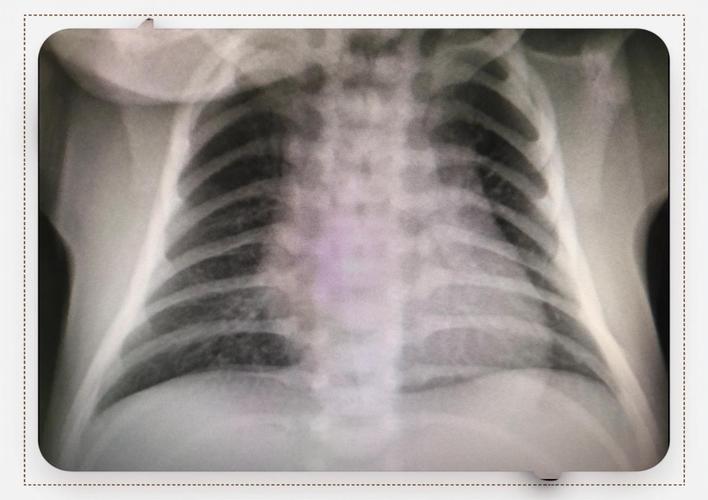
- 原因:这是最常见的原因之一,在分娩过程中,胎儿可能会吸入少量被胎粪或羊水污染的羊水。
- 表现:宝宝可能呼吸急促、呻吟、口吐泡沫,但通常情况不严重,肺部X光会看到斑片状或结节状的阴影。
- 预后:大多数轻微的羊水吸入可以自行吸收,医生会给予观察、吸氧等支持治疗。
-
肺液潴留/湿肺
- 原因:胎儿在子宫内肺泡里充满了液体,出生后需要通过产道挤压和开始呼吸将这些液体排出,如果排出不畅,液体就会潴留在肺部。
- 表现:多见于剖宫产或选择性引产的婴儿,因为缺少了产道的挤压过程,宝宝可能出现呼吸急促、呻吟,但通常在出生后6-12小时内出现,24-48小时内自行好转。
- 预后:这是非常常见的生理现象,是“自限性”的,意味着它会自己好起来。
-
肺透明膜病
- 原因:主要见于早产儿,因为胎龄不足,宝宝的肺泡表面缺乏一种叫做“肺表面活性物质”的物质,它就像“洗碗精”一样,能让肺泡在呼气时保持张开,防止塌陷,缺乏它,肺泡就会像没有吹气的透明膜一样塌陷。
- 表现:通常在出生后几小时内出现进行性加重的呼吸困难、呻吟、呼吸三凹征(吸气时胸骨上窝、肋间隙、剑突下凹陷),X光上会看到典型的“毛玻璃样”改变和“支气管充气征”。
- 预后:这是早产儿呼吸窘迫的主要原因,但现代医学已经有成熟的肺表面活性物质替代疗法和呼吸支持技术,治疗效果很好。
感染性原因
这是需要高度重视并积极治疗的原因。

(图片来源网络,侵删)
-
新生儿肺炎
- 原因:可以在出生前(宫内感染)、出生时(通过产道感染)或出生后(环境感染)发生,病原体可以是细菌(如B族链球菌)、病毒(如巨细胞病毒)或真菌。
- 表现:除了肺部阴影,宝宝通常会有明显的感染症状,如发热或体温不升、精神萎靡、吃奶差、呼吸急促、口吐泡沫、咳嗽(咳嗽反射较弱,可能不明显)等。
- 预后:需要根据病原体使用相应的抗生素或抗病毒药物进行积极治疗,大部分宝宝可以治愈。
-
先天性感染
- 原因:母亲在怀孕期间感染了某些病毒(如巨细胞病毒、弓形虫、风疹病毒等),病原体通过胎盘感染胎儿。
- 表现:除了肺部阴影,可能伴有其他系统症状,如肝脾肿大、黄疸、小头畸形、发育迟缓等。
- 预后:治疗相对复杂,需要长期管理和随访。
其他少见但重要的原因
-
先天性肺发育异常
- 肺隔离症:一部分肺组织没有正常的功能,有自己的血液供应,容易反复感染。
- 先天性肺囊腺瘤畸形:肺部有一团异常增生的组织,可能形成囊肿。
- 支气管源性囊肿:支气管发育异常形成的囊肿。
- 表现:有些可能在产前超声就发现,有些在出生后因感染或呼吸不畅才被发现,通常需要外科手术治疗。
-
新生儿肺出血
(图片来源网络,侵删)- 原因:可能与严重感染、缺氧、心力衰竭、凝血功能障碍等有关。
- 表现:病情危重,气管内可吸出或口鼻涌出鲜血样液体,X光上肺部会呈现大片实变影。
- 预后:非常凶险,需要立即进入重症监护室进行抢救。
-
心力衰竭
- 原因:如先天性心脏病等导致心脏泵血功能不足,血液会淤积在肺部,导致肺部影像看起来像“肺炎”或“肺水肿”。
- 表现:宝宝呼吸急促、口周发绀、多汗、喂养困难、肝脏肿大。
- 预后:需要儿科心脏专科医生进行诊断和治疗。
家长应该怎么办?
- 保持冷静,遵从医嘱:当医生告知肺部有阴影时,最关键的是与医生充分沟通,了解宝宝的具体症状、医生的初步判断以及下一步的检查和治疗计划。
- 积极配合检查:医生可能会安排血常规、C反应蛋白、血培养、呼吸道病原体检测等,以明确感染的性质,必要时可能会做心脏超声或CT检查。
- 理解治疗的重要性:如果是感染,必须足量、足疗程用药;如果是早产儿的肺透明膜病,需要接受呼吸支持和肺表面活性物质治疗,不要因为担心副作用而拒绝必要的治疗。
- 做好护理和喂养:在治疗期间,保持宝宝安静,减少不必要的刺激,按照医生指导进行喂养,保证营养和水分摄入,这对宝宝的恢复至关重要。
新生儿肺部阴影是一个信号,背后可能的原因从轻微的生理现象到严重的感染或先天畸形都有可能。
- 对于足月儿,最常见的是羊水吸入和湿肺,通常预后良好。
- 对于早产儿,首先要考虑肺透明膜病。
- 如果宝宝伴有明显的感染症状,则高度怀疑新生儿肺炎。
最重要的一步是立即就医,由专业的儿科医生,尤其是新生儿科医生,根据宝宝的整体情况、临床症状和各项检查结果,做出准确的诊断,并制定最合适的治疗方案。 请相信现代医学,绝大多数情况下,只要得到及时正确的处理,宝宝都能顺利康复。
标签: 婴儿肺部阴影常见病因 新生儿肺部阴影怎么办
版权声明:除非特别标注,否则均为本站原创文章,转载时请以链接形式注明文章出处。