郑州医学网
  • 首页
  • 孕期健康知识
  • 儿童健康
  • 新生儿健康护理
首页 包含"新生儿拍X光危害"标签的文章
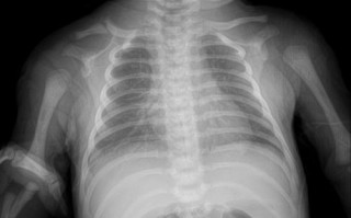
新生儿拍X光片到底会不会对身体造成潜在影响? 新生儿健康护理

新生儿拍X光片到底会不会对身体造成潜在影响?

这是一个非常重要且常见的问题,新手父母们对此非常关心,在医生认为必要的情况下,给新生儿拍片子(医学影像检查)的益处远大于其潜在的风险,下面我将从几个方面为您详细解释,帮助您全面了解这个问题,为什么新生...

99ANYc3cd6 2026-01-05 1 #婴儿拍X光安全吗 #新生儿拍X光危害

新生儿接受X光检查会有哪些潜在影响与风险? 新生儿健康护理

新生儿接受X光检查会有哪些潜在影响与风险?

在现代医学规范下,对新生儿进行必要的X光检查,其带来的诊断益处远远大于其潜在的风险, 医生只有在权衡利弊,认为检查对诊断和治疗至关重要时,才会开具X光检查,下面我们来分解说明:X光对新生儿的主要潜在风...

99ANYc3cd6 2025-12-23 1 #新生儿X光检查风险 #婴儿X光辐射影响 #新生儿拍X光危害

最新文章

  • 儿童做核磁共振安全吗?家长需注意哪些事项?

    儿童做核磁共振安全吗?家长需注意哪些事项?

    2026-01-24 0
  • 孕期得了分泌性中耳炎,会对胎儿有影响吗?该怎么治疗才安全?

    孕期得了分泌性中耳炎,会对胎儿有影响吗?该怎么治疗才

    2026-01-24 0
  • 孕期吃鱼籽鱼泡会安全吗?营养价值和潜在风险有哪些?

    孕期吃鱼籽鱼泡会安全吗?营养价值和潜在风险有哪些?

    2026-01-24 0
  • 十岁儿童喝什么奶粉好?选成长奶粉还是普通奶粉?营养需求怎么搭配?

    十岁儿童喝什么奶粉好?选成长奶粉还是普通奶粉?营养需

    2026-01-24 0
  • 西游记儿童在线听故事,如何通过音频让孩子轻松读懂经典?

    西游记儿童在线听故事,如何通过音频让孩子轻松读懂经典

    2026-01-24 0
  • 顺义首儿李桥儿童医院有哪些特色科室和优势诊疗项目?

    顺义首儿李桥儿童医院有哪些特色科室和优势诊疗项目?

    2026-01-24 0

关于本站

侵权处理与合作:473708564#qq.com,#换成@就是邮箱

沪ICP备2024102905号

联系我们

关注我们

郑州医学网二维码