这是一个非常重要且常见的问题,新手父母们对此非常关心。在医生认为必要的情况下,给新生儿拍片子(医学影像检查)的益处远大于其潜在的风险。

下面我将从几个方面为您详细解释,帮助您全面了解这个问题。
为什么新生儿需要拍片子?
新生儿拍片子不是常规检查,而是在特定情况下,医生为了明确诊断、指导治疗而采取的必要手段,常见的检查包括:
-
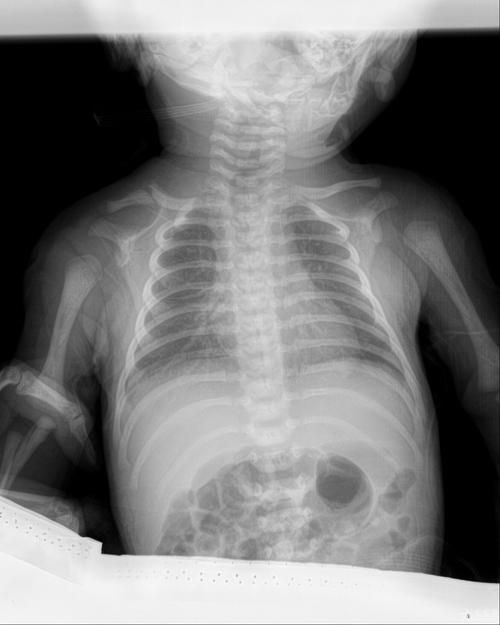
X光片:最常用,辐射剂量很小。
- 检查肺部:判断是否有新生儿肺炎、肺不张、吸入综合征等。
- 检查骨骼:查看是否有骨折(尤其是难产或产伤的新生儿)、骨骼发育问题。
- 检查腹部:观察是否有肠梗阻、坏死性小肠结肠炎等消化道疾病。
- 检查胸部心脏:观察心脏大小、形态,初步筛查先天性心脏病。
-
B超(超声波):完全无辐射,是新生儿检查中最安全的方式之一。
(图片来源网络,侵删)- 检查头部(颅脑B超):筛查颅内出血、脑室扩大等。
- 检查心脏(心脏B超):详细诊断先天性心脏病的类型和严重程度。
- 检查腹部:观察肝、胆、肾、脾等脏器情况。
-
CT(计算机断层扫描):辐射剂量比X光高,但能提供更清晰的断层图像。
- 通常用于紧急情况,如严重外伤、怀疑颅内出血但B超无法明确时,能快速、全面地评估病情。
-
核磁共振:无辐射,能提供最精细的软组织图像。
- 主要用于神经系统检查,如缺氧缺血性脑病、脑发育畸形等的评估,检查时间较长,噪音大,对新生儿镇静要求较高。
拍片子的“影响”主要指什么?
家长们最担心的“影响”主要来自两个方面:辐射和镇静药物。
关于辐射(主要针对X光和CT)
- 辐射剂量非常低:用于新生儿的X机和CT机都经过特殊校准,使用的是能穿透新生儿身体的最低有效剂量,一次胸部X光检查的辐射剂量非常小,相当于新生儿在自然环境中几天到十几天所受到的背景辐射。
- 风险极低:国际权威机构(如国际放射防护委员会ICRP)指出,这种低剂量的医学检查,致癌风险是微乎其微的,远不及疾病本身不治疗所带来的风险,医生在做检查前,已经严格权衡了“诊断的必要性”和“辐射的风险”。
- 铅防护:在进行X光检查时,医生会对新生儿的非检查部位(如性腺、甲状腺等敏感器官)用铅衣或铅围巾进行防护,以进一步减少不必要的辐射。
一次必要的X光检查,其辐射风险小到可以忽略不计,而它带来的诊断价值是巨大的。

关于镇静药物(主要针对MRI和B超)
- 并非所有检查都需要镇静:
- B超:通常不需要镇静,操作者会尽量在新生儿安静时(如睡眠中)完成。
- MRI:由于检查时间长、机器噪音大,新生儿很难保持静止不动,所以常常需要使用镇静药物,这是为了让宝宝安全、舒适地完成检查,避免因乱动导致图像模糊而需要重做。
- 镇静药物的安全性:医院用于新生儿的镇静药物都是经过严格选择的,剂量是根据宝宝的体重精确计算的,由专业的麻醉医生或儿科医生给药,并在整个过程中严密监测宝宝的生命体征(心率、呼吸、血氧等),因此是相对安全的,医生会在用药前评估宝宝的身体状况,确保没有禁忌症。
医生是如何权衡的?
医生在决定是否给新生儿做影像检查时,会遵循一个非常核心的原则:ALARA原则(As Low As Reasonably Achievable),即可合理达到的最低水平。
这意味着:
- 必要性:只有当临床高度怀疑某种疾病,且影像检查是确诊或指导治疗的关键时,才会进行。
- 选择最安全的方式:如果B超能解决问题,就绝不会首选CT或X光,如果MRI不是必须,就会避免使用镇静药物。
- 最小化剂量:在必须使用X光或CT时,会使用最低的有效剂量,并做好铅防护。
总结与建议
-
相信专业判断:如果医生建议您的宝宝做影像检查,通常是经过深思熟虑的,请不要因为担心辐射而拒绝,以免延误对宝宝疾病的诊断和治疗,那可能会造成更严重的后果。
-
主动沟通:作为家长,您有权利了解情况,您可以向医生询问:
- “为什么要做这个检查?”
- “这个检查有什么风险?”
- “有没有其他替代方法?”
- “如果做CT/MRI,镇静药物安全吗?” 一个负责任的医生会很乐意为您解答。
-
不要过度恐慌:现代医学已经非常成熟,用于新生儿的影像检查技术在安全性和有效性上都经过了严格的验证,一次必要的检查,其带来的健康益处远远超过其微乎其微的风险。
新生儿拍片子在医生认为有必要时,是安全、有效的,家长们应将关注点放在疾病的诊断和治疗上,信任医生的专业判断,与医护人员携手为宝宝的健康保驾护航。