孕期胎儿心脏超声解剖详解
胎儿心脏超声检查,通常被称为“胎儿心脏彩超”或“胎儿心动图”(Fetal Echocardiography),是产前超声检查中技术要求最高、最复杂的项目之一,它不仅仅是看“心尖朝哪”,更是对胎儿心脏结构和功能的系统性评估。

为什么要做胎儿心脏超声?
- 筛查目的: 在常规产检中,发现可疑“软指标”或高危因素时,进行详细评估,排除或确诊先天性心脏病。
- 诊断目的: 当高度怀疑或已初步诊断为胎儿心脏结构异常时,进行详细检查,明确畸形的类型、严重程度、合并其他畸形的情况,为后续的围产期管理、分娩计划及产后治疗提供决策依据。
- 高危人群筛查: 对具有高危因素的孕妇进行系统性检查,降低漏诊率。
胎儿心脏超声的最佳时机
- 最佳筛查时间: 孕18周 - 孕24周。
- 原因:
- 此时胎儿大小适中,羊水量相对充足,心脏已基本发育成形,超声图像清晰。
- 孕妇子宫张力不大,便于检查者调整胎儿体位获取标准切面。
- 孕24周前发现问题,可以有更充分的时间进行咨询、诊断和后续安排。
- 原因:
- 特殊情况:
- 对于高危因素(如母体有糖尿病、服用致畸药物、家族心脏病史等)或早孕期筛查提示异常(如NT增厚、鼻骨缺失等),检查时间可提前至孕14-16周。
- 对于晚孕期才发现的异常,或需要评估心功能、瓣膜功能等情况,孕晚期(28-32周)也是重要的检查窗口。
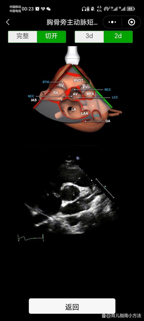
胎儿心脏超声的“九大标准切面”
胎儿心脏超声检查的核心在于获取一系列标准切面,从不同角度观察心脏结构,这九个切面是系统筛查的基础,也是评估任何异常的基石。
| 切面名称 | 类比成人心脏切面 | 主要观察内容 |
|---|---|---|
| 上腹部横切面 | - | 定位心脏:判断心脏是否位于胸腔左侧(心尖朝左),即左位心,这是所有检查的起点。 |
| 四腔心切面 | 类似于心尖四腔心切面 | 核心切面:观察左右心房、左右心室的大小、结构,房室间隔是否完整,二尖瓣和三尖瓣的形态、启闭及功能。 |
| 左心室流出道切面 | 类似于左心室长轴切面 | 观察:左心室流出道、主动脉瓣、主动脉弓的形态和连续性。 |
| 右心室流出道切面 | 类似于右心室流出道长轴切面 | 观察:右心室流出道、肺动脉瓣、主肺动脉的形态和连续性。 |
| 三血管切面 | - | 核心切面:同时显示上腔静脉、主动脉和肺动脉,观察三支血管的排列关系(从左到右:肺动脉-主动脉-上腔静脉)、管径大小比例及走行。 |
| 三血管气管切面 | - | 核心切面:在三血管切面的基础上,向后移动,显示气管,观察血管与气管的相对位置关系(主动脉和气管始终伴行)。 |
| 主动脉弓切面 | 类似于主动脉弓长轴切面 | 观察:主动脉弓的形态、走行、分支(头臂干、左颈总动脉、左锁骨下动脉),以及其与动脉导管连接处。 |
| 动脉导管弓切面 | - | 观察:动脉导管弓的形态、走行,以及它与左肺动脉的连接。 |
| 双心房切面 | 类似于双心房切面 | 观察:上下腔静脉汇入右心房的情况,以及房间隔的完整性。 |
标准切面下的正常解剖结构详解
四腔心切面 - 心脏的“全家福”
- 心房: 左右心房大小基本相等,左心房靠近脊柱,内部光滑;右心房靠近前胸壁,可见特征性的卵圆孔瓣(在左心房侧飘动)。
- 心室: 左心室壁较厚,呈“圆锥形”;右心室壁较薄,呈“三角形”,其内可见调节束,这是右心室的标志性结构。
- 房室瓣: 二尖瓣(左)和三尖瓣(右)启闭良好,三尖瓣的隔瓣附着点略低于二尖瓣,这是区分左右心室的重要标志。
- 室间隔: 完整,将左右心室分开。
- 房间隔: 完整,但中上段有卵圆孔开放,允许胎儿期含氧的血液从右心房流向左心房。
左/右心室流出道切面 - “出口”检查
- 左心室流出道: 从左心室发出,连接主动脉,主动脉瓣呈“Y”形,开放良好。
- 右心室流出道: 从右心室发出,连接肺动脉,肺动脉瓣呈“一”字形,开放良好。
三血管切面 - “管道”排列

- 从胎儿左侧看,三条大血管并排走行,从左到右依次是:
- 肺动脉:最宽,呈“M”形分叉。
- 主动脉:居中,管径略细于肺动脉。
- 上腔静脉:最细,直行汇入右心房。
- 正常比例关系: PA > Ao > SVC。
主动脉弓/动脉导管弓切面 - “环”状结构
- 主动脉弓: 呈“拐杖”形,从右前向左后弯曲,连接降主动脉和头臂动脉。
- 动脉导管弓: 呈“U”形或“C”形,连接主肺动脉和降主动脉。
- 两者关系: 两者形成一个“环”包绕气管,是胎儿期血液循环的关键部分。
胎儿血液循环特点
理解胎儿心脏,必须理解其独特的血液循环路径:
- 胎盘供氧: 胎儿不通过肺呼吸,氧气和营养来自母体胎盘。
- 卵圆孔和动脉导管: 这是胎儿期最重要的两个“通道”。
- 卵圆孔: 使大部分富氧血从胎盘→下腔静脉→右心房→卵圆孔→左心房→左心室→主动脉→供应大脑和上半身。
- 动脉导管: 使部分右心室的血(混合血)直接流入主动脉,供应下半身。
- 出生后变化: 胎儿第一声啼哭,肺脏扩张,肺循环阻力下降,这两个通道会功能性关闭,最终形成解剖结构(卵圆孔孔、动脉韧带)。
如何初步判断心脏异常?
超声医生在检查时,会遵循“系统筛查”的原则,通过上述标准切面寻找以下线索:
- 位置异常: 心脏不在胸腔左侧(右位心、中位心)。
- 大小异常: 心胸比例过大或过小,某一心房/心室显著增大或减小。
- 结构中断:
- 房间隔缺损: 四腔心切面看不到卵圆孔瓣或房间隔连续性中断。
- 室间隔缺损: 四腔心切面室间隔连续性中断。
- 流出道/大血管连接异常: 如法洛四联症的主动脉骑跨,大动脉转位的血管排列关系错乱。
- 瓣膜异常: 瓣膜增厚、启闭受限(狭窄)或不能完全闭合(反流)。
- 大血管异常:
- 主动脉弓离断/缩窄: 主动脉弓切面显示中断或管腔狭窄。
- 肺动脉狭窄/闭锁: 右心室流出道切面显示肺动脉瓣无法开放或肺动脉发育不良。
- 永存动脉干: 只有一根大动脉发自心脏。
- 功能异常:
- 心功能减低: 心室收缩无力,射血分数下降。
- 心律失常: 心率过快、过慢或不规则。
- 合并畸形: 心脏异常常合并其他系统畸形(如染色体异常、综合征等)。
重要提示
- “软指标”不等于“畸形”: 孕早期发现的NT增厚、鼻骨缺失、脉络丛囊肿等是“软指标”,提示风险增加,但不能直接诊断为心脏病,需要结合孕中期胎儿心脏超声及其他检查综合判断。
- 超声的局限性: 胎儿心脏超声受胎位、孕妇体型、羊水量、胎儿骨骼声影等多种因素影响,无法做到100%检出,一些微小或晚发的畸形可能漏诊。
- 专业团队: 胎儿心脏超声检查需要由经验丰富的超声医生或胎儿心脏病专家操作和诊断,如果发现异常,建议及时转诊至有资质的胎儿医学中心或心血管中心进行会诊。
孕期胎儿心脏超声是一项通过标准化的切面系统性地评估胎儿心脏结构和功能的检查,它从心脏的位置、大小、内部结构(房室、瓣膜、间隔)到外部连接(大血管、弓),再到血流动力学,全方位地筛查先天性心脏病,是保障胎儿健康出生的重要防线。
标签: 胎儿心脏超声复杂结构异常精准识别 孕期胎儿心脏解剖超声异常诊断技巧 胎儿心脏超声精准识别复杂结构方法