简单解释一下什么是喉骨软化。

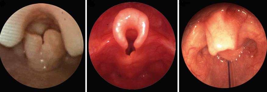
喉骨软化,也称为先天性喉喘鸣,是新生儿和婴儿时期一种非常常见的疾病,它的根本原因是婴儿喉部的软骨(主要是会厌软骨和杓状软骨)发育不够成熟、质地较软,导致在呼吸时,这些软化的软骨会向内塌陷,部分阻塞了上呼吸道,从而在吸气时产生特殊的声音。
这种病通常在宝宝出生后几周内变得明显,尤其是在2-3个月大时最为显著,大部分宝宝在6个月到1岁左右,随着喉部软骨逐渐发育成熟而自愈。
新生儿喉骨软化的主要症状
喉骨软化的症状通常以“吸气性”为特点,也就是说,症状主要在宝宝吸气时出现。
最典型的症状:喘鸣音
这是最核心、最具有标志性的症状。

- 声音特点:是一种高调、粗糙的“嘶嘶”声,类似于拉风箱、水泡咕噜咕噜的声音,或者像小鸡的叫声,有些家长描述为“像吹哨子”的声音。
- 发生时间:这种声音在宝宝吸气时最为明显,呼气时则很轻微或没有。
- 体位影响:通常在宝宝仰卧、哭闹、兴奋、喂奶或患有呼吸道感染(如感冒)时,喘鸣音会加重,当宝宝俯卧、头部后仰或熟睡安静时,声音会减轻或消失。
呼吸困难的症状
根据喉部塌陷的严重程度,宝宝可能表现出不同程度的呼吸困难:
- 轻微:只有喘鸣音,没有明显的呼吸费力。
- 中度:在喘鸣的同时,可以看到宝宝呼吸时锁骨上窝、胸骨上窝和肋间隙(三凹征)向内凹陷,这是因为宝宝需要用更大的力气才能把空气吸进去。
- 严重(较为少见):宝宝可能会出现呼吸急促、面色发青(发绀)、烦躁不安、喂养困难、体重增长缓慢等情况。
其他伴随症状
- 喂养困难:这是家长非常常见的主诉之一,因为吃奶本身就是一个需要费力呼吸的过程,同时吃奶时喉部肌肉活动,会加重喘鸣和呼吸困难,这可能导致:
- 吃奶时容易疲劳,吃几口就停下来喘气。
- 吃奶时间延长。
- 容易呛奶或吐奶。
- 由于摄入不足,导致体重增长不理想。
- 睡眠不安:平躺时症状加重,可能导致宝宝睡觉时容易惊醒、有憋气的感觉,喜欢把头偏向一侧或枕得比较高。
- 声音嘶哑:部分宝宝可能伴有声音嘶哑。
家长如何初步判断?
您可以对照以下几点进行观察:
- 听声音:宝宝在安静和哭闹时,呼吸的声音有什么不同?是否只在吸气时有“嘶嘶”声?
- 看状态:在宝宝发出这种声音时,观察他的胸口、脖子下面和肋骨之间是否有向里凹陷的情况?如果只是有声音,但没有凹陷,通常问题不大。
- 试体位:试着把宝宝竖着抱起来,或者让他趴一会儿(需在家长严密看护下),观察喘鸣音是否有所减轻。
- 观察喂养:宝宝吃奶是否很费劲?是否经常呛奶?
何时需要立即就医?
虽然喉骨软化大多是良性的,但如果出现以下“红色警报”信号,请务必立即带宝宝去看医生:
- 呼吸困难加重:出现明显的“三凹征”,呼吸急促、费力,鼻翼扇动。
- 面色改变:宝宝在哭闹或吃奶时出现口唇、面色发青或发紫。
- 意识改变:宝宝看起来异常嗜睡、反应差,或者有憋气后晕厥的情况。
- 喂养极度困难:完全无法正常进食,每次喂奶都大量呛奶,导致体重明显下降。
- 发育迟缓:因为长期喂养困难,导致身高、体重增长明显落后于同龄宝宝。
新生儿喉骨软化的核心症状是吸气性喘鸣音,常伴有喂养困难和体位相关的症状加重,绝大多数情况下,这是一种会随着宝宝成长自愈的良性问题。

家长在日常生活中可以:
- 注意喂养姿势:尽量采取半卧位或斜抱位喂奶,喂完后拍嗝。
- 保持呼吸道通畅:避免宝宝接触烟草烟雾等刺激物,预防感冒。
- 调整睡姿:宝宝睡觉时可以适当抬高头部(注意安全,使用专用楔形枕,不要用枕头垫高,以防窒息风险)。
如果家长对宝宝的呼吸状况有任何疑虑,或者宝宝出现了上述的“红色警报”信号,最稳妥的做法就是及时咨询儿科医生,以排除其他可能的严重疾病。
标签: 新生儿喉软骨软化症状辨别 婴儿喉软化症家长应对方法 新生儿喉软骨软化典型表现