新生儿健康护理 新生儿鼻尖上长小白点是什么 最常见的原因:新生儿粟粒疹您可以把它理解为宝宝皮肤的“正常小插曲”,是什么?新生儿粟粒疹是皮肤表层(表皮)的角蛋白(一种蛋白质)无法正常脱落,被包裹在皮肤下面形成的小囊肿,它们看起来像一粒粒白色或黄色... 99ANYc3cd6 2025-11-30 0 #新生儿鼻尖小白点原因 #新生儿鼻尖小白点处理 #新生儿鼻尖小白点正常吗
新生儿健康护理 新生儿脸上起小疙瘩怎么回事 下面我为您详细分析一下最常见的原因以及相应的护理方法,并提供一些需要警惕的信号,最常见的原因(通常无需过度担心)新生儿痤疮(新生儿痘)这是最常见的原因之一,看起来像青春痘,外观:下巴、脸颊、额头可能出... 99ANYc3cd6 2025-11-30 0 #新生儿面部疙瘩护理 #新生儿脸上长疙瘩怎么办
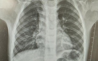
新生儿健康护理 新生儿拍肺部CT影响有多大? 这是一个非常严肃且重要的问题,所有家长在面临这个抉择时都会感到焦虑和担忧,我们来详细、客观地分析一下新生儿做肺部CT的影响,帮助您做出更明智的决定,新生儿肺部CT检查是一把“双刃剑”,它带来的明确诊断... 99ANYc3cd6 2025-11-30 0 #新生儿肺部CT辐射影响 #婴儿拍肺部CT的危害 #新生儿CT检查风险大吗
新生儿健康护理 新生儿肚子咕咕叫是正常还是生病了? 下面我为您详细解释一下原因、如何判断以及需要注意的情况, 为什么新生儿肚子会“咕噜噜”叫?这主要和我们人体的消化系统工作原理有关,新生儿肚子“咕咕叫”的声音,在医学上称为肠鸣音,它是当肠道内的气体和液... 99ANYc3cd6 2025-11-30 0 #新生儿肚子咕咕叫正常吗 #新生儿肚子咕咕叫怎么办 #新生儿肚子咕咕叫原因
新生儿健康护理 新生儿S号尿不湿用到几个月? 下面我们来详细分析一下,并给您一些判断是否需要换码数的实用方法,影响使用时间的主要因素出生体重(最关键的因素)低体重儿(<3kg):可能会从NB码(新生儿码)用起,或者S码用的时间非常短,正常体... 99ANYc3cd6 2025-11-30 0 #新生儿S号尿不湿使用月龄 #新生儿S码尿不湿用到多大 #宝宝S号尿不湿穿几个月
新生儿健康护理 新生儿便秘原因有哪些? 需要强调的是,新生儿(尤其是纯母乳喂养的)排便模式差异很大,有些宝宝一天排便数次,有些可能几天才排一次,只要大便性状软、不干硬,宝宝吃奶、精神、睡眠都正常,就不算便秘,但如果出现大便干硬、粗大、呈小球... 99ANYc3cd6 2025-11-30 0 #新生儿便秘常见原因 #婴儿便秘饮食诱因 #新生儿便秘怎么办
新生儿健康护理 新生儿二十天不洗澡有何危害? 二十天不洗澡,虽然宝宝不一定立刻出现严重问题,但确实会带来一系列潜在的危害和不便,我们可以从以下几个方面来理解: 皮肤健康问题(最直接、最常见)皮肤感染风险增加:细菌和真菌滋生:新生儿的皮肤非常娇嫩,... 99ANYc3cd6 2025-11-30 0 #新生儿二十天不洗澡危害 #新生儿二十天不洗澡影响 #新生儿二十天不洗澡风险
新生儿健康护理 新生儿全身皮肤网状紫红色是何原因? 请不要惊慌,但应立即联系医生或带宝宝去医院就诊,下面我将为您详细解释可能的原因、需要做什么以及相关的医学知识,核心概念:什么是“网状紫红色”?这种在皮肤上出现的网状、花边状或大理石石纹样的紫红色斑纹,... 99ANYc3cd6 2025-11-30 0 #新生儿全身网状紫红色皮疹 #新生儿皮肤大理石样花纹原因
新生儿健康护理 新生儿打卡介苗后出现脓包正常吗? 下面为您详细解释一下应该怎么办,以及如何区分正常反应和需要警惕的异常情况,为什么会形成脓包?(正常反应原理)卡介苗(BCG)是一种减毒活疫苗,接种到人体后,会模拟一次轻微、受控的感染,从而刺激免疫系统... 99ANYc3cd6 2025-11-30 0 #卡介苗接种后脓包正常现象 #新生儿卡介苗脓包护理方法
新生儿健康护理 新生儿乳头白点是何原因? 下面我为您详细解释一下可能的原因、判断方法以及正确的处理方式,最常见的原因:生理性乳腺肿大和“马牙”这是最普遍、最无需担心的原因,通常被称为“新生儿乳房肿块”,生理性乳腺肿大原因:在母体里,宝宝会受到... 99ANYc3cd6 2025-11-30 0 #婴儿乳头小白点原因 #新生儿鹅口疮与小白点区别